A Healthy Smile Is Always In Style
Comprehensive Dental Services
Our team can offer a wide variety of general and specialized dental services all under one roof, saving you from having to travel between different dental offices.
We Make Dentistry Affordable
We offer a selection of flexible payment options that are designed to work with any budget.
Prompt, Reliable Care
We offer same-day appointments. Late evening and early morning hours are available, and we are also open during the weekends for emergencies.
AZ Lifetime Dentistry | Dental Lab, Digital Impressions and Root Canals
AZ Lifetime Dentistry | Air Abrasion, Botox reg  and Dental Bridges
AZ Lifetime Dentistry | Cosmetic Dentistry, Digital Radiography and Veneers AZ Lifetime Dentistry | Dental Cleanings, Air Abrasion and Crowns  amp  Caps
AZ Lifetime Dentistry | Dentures, Laser Dentistry and Implant Restorations AZ Lifetime Dentistry | Periodontal Treatment, Root Canals and Sedation Dentistry
AZ Lifetime Dentistry | E4D, Digital Impressions and Invisalign reg AZ Lifetime Dentistry | Dental Sealants, Botox reg  and Emergency Treatment
Why You Need To Get Your Teeth Cleaned
Enjoying a smile that looks good and functions at its best is not something you can take for granted. To maintain optimal oral health and a vibrant smile requires an effective dental hygiene regimen, a nutritious diet, routine checkups, professional cleanings, and a comprehensive program of preventive care.
AZ Lifetime Dentistry | Veneers, Dental Sealants and Sedation Dentistry
How Dental Cleanings Protect Your Smile
Since plaque harbors the bacteria responsible for cavities and gum disease, its removal is essential for maintaining good oral health. Our office encourages patients to come in twice a year for professional dental cleanings. In this way, our hygienist can remove any accumulated plaque, tartar, and food debris from between the teeth and gums.
Take the next step and schedule an appointment today.
Contact Now

Patient Reviews

Adilene

AZ Lifetime Dentistry

I love this dentist office! Everyone is always welcoming, helpful and go far and beyond for you. Had a implant done with no pain or worries. If your looking a great dentist office, they won't disappoint.

5.0 / 5.0
AZ Lifetime Dentistry | Full Mouth Reconstruction, Orthodontics and Preventative Program

Mia

AZ Lifetime Dentistry

Went for my first cleaning/exam today, Carolyn and Dr. Elrod did an excellent job! They were very kind, patient, and thoroughly answered any questions I had about my dental hygiene. I feel comfortable and cared for at AZ Lifetime Dentistry 😁 would very much recommend!

5.0 / 5.0
AZ Lifetime Dentistry | Full Mouth Reconstruction, Orthodontics and Preventative Program

Laura

AZ Lifetime Dentistry

My experience here was good. The staff is very nice and they remained informative through out all the dental procedures I had. If you’re looking for a personalized night guard for teeth grinding, come here! I’m finally getting one that’s worth it. Yay. Will be back. Thank you Daniela, Karen and Dr <3 :))

5.0 / 5.0
AZ Lifetime Dentistry | Full Mouth Reconstruction, Orthodontics and Preventative Program
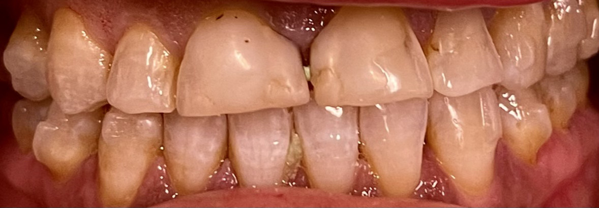
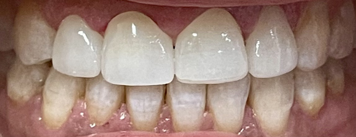
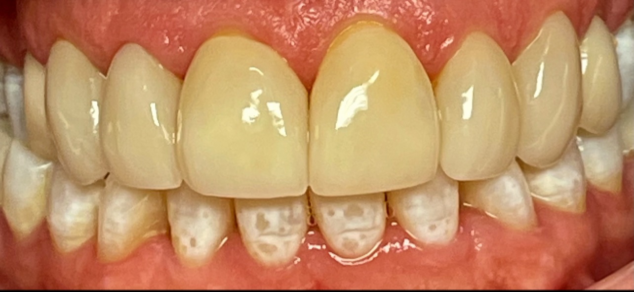
Experienced Care You Can Trust
As skilled and experienced providers of care, we combine the art and science of dentistry to transform less-than-perfect smiles into ones that are vibrant and beautiful! We offer personalized solutions to help every patient enjoy the benefits of an attractive and healthy smile.
Learn More About Office

AZ Lifetime Dentistry

Monday
8:00 am - 5:00 pm
Tuesday
8:00 am - 5:00 pm
Wednesday
8:00 am - 5:00 pm
Thursday
Closed
Friday
8:00 am - 4:00 pm
Saturday
Closed
Sunday
Closed

13065 W McDowell Road
Suite B112
Avondale, AZ 85392
(623) 455-3600